The Importance of Teeth Whitening in Shirley
In the vibrant community of Shirley, a dazzling smile can make a significant difference. Teeth whitening has become a popular cosmetic procedure, and for good reason. It’s not just about aesthetics; a bright, white smile can boost your confidence and improve your overall well-being. The desire for a brighter smile is universal, and Shirley residents are increasingly turning to teeth whitening to enhance their appearance and achieve that coveted radiant look. Whether you’re preparing for a special event or simply want to feel better about yourself, teeth whitening in Shirley offers a pathway to a more confident you.
Benefits of a Bright Smile
The advantages of teeth whitening extend far beyond mere aesthetics. A brighter smile can significantly impact your personal and professional life. The psychological benefits are considerable, as a white smile is often associated with youthfulness, health, and vitality. In Shirley, where community interactions and social engagements are frequent, the confidence boost from a beautiful smile can be invaluable. A brighter smile conveys approachability and friendliness, making a positive first impression. Furthermore, a confident smile can improve self-esteem and overall mental health. It encourages you to engage more openly with others, fostering stronger relationships and greater social satisfaction.
Boosting Confidence

The most immediate impact of teeth whitening is a boost in self-confidence. When you feel good about your smile, you’re more likely to smile often and with genuine enthusiasm. This increased confidence can influence various aspects of your life, from your professional interactions to your social engagements. In Shirley, where community events and social gatherings are common, a confident smile can make you feel more at ease and enhance your interactions with others. Whether it’s a job interview, a date, or simply a casual conversation, a bright smile makes you feel more empowered and self-assured.
Improving Oral Health
While primarily a cosmetic procedure, teeth whitening can indirectly contribute to better oral health. The motivation to maintain a bright smile often leads to a greater commitment to oral hygiene. People who whiten their teeth tend to brush and floss more regularly and are more likely to schedule routine dental check-ups. These habits are crucial for preventing cavities, gum disease, and other oral health issues. Regular professional cleanings, often recommended before whitening treatments, help remove plaque and tartar buildup, promoting a healthier mouth. By prioritizing the appearance of their smile, individuals in Shirley often become more proactive about their overall oral health.
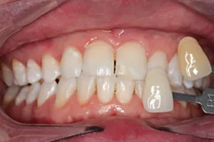
Secret 1 Professional Whitening Options
One of the most effective ways to achieve a dramatically whiter smile in Shirley is through professional whitening treatments. Dentists offer various in-office and take-home options, ensuring that you receive the best possible results under expert supervision. These treatments often use higher concentrations of whitening agents than over-the-counter products, yielding faster and more noticeable improvements. Professional treatments also address underlying issues like sensitivity and ensure a safe and effective process. Consulting a dentist in Shirley is the first step to deciding which option is right for your needs and achieving the beautiful smile you desire.
In-office Whitening Procedures

In-office teeth whitening, also known as chairside bleaching, is a rapid and highly effective method performed by dental professionals in Shirley. The procedure typically involves applying a strong whitening gel to your teeth and using a special light or laser to activate the bleaching agent. This process is carefully monitored to ensure your safety and comfort, delivering impressive results in a single appointment. The dentist will isolate your gums and other soft tissues to protect them from the whitening solution. In-office whitening is ideal for those seeking immediate results and is particularly popular before special occasions or events. The entire process can be completed in about an hour, making it a convenient option for busy individuals in Shirley.
Laser Whitening
Laser whitening is a specific type of in-office teeth whitening that uses a laser to accelerate the bleaching process. After applying the whitening gel, the dentist uses a laser to activate the gel and enhance its effectiveness. This technique can significantly speed up the whitening process, often achieving several shades whiter in a single session. The laser helps the bleaching agent penetrate the enamel more quickly, leading to faster and more dramatic results. Laser whitening is a popular choice in Shirley for its efficiency and ability to deliver remarkable changes in a short amount of time. The procedure is typically safe and performed by trained dental professionals.
Take-Home Whitening Kits
Take-home whitening kits, provided by your Shirley dentist, offer a more gradual approach to teeth whitening. These kits typically include custom-fitted trays and a whitening gel. You wear the trays for a specified amount of time each day or night, as directed by your dentist. This method allows you to whiten your teeth at your convenience in the comfort of your own home. The dentist will provide detailed instructions and monitor your progress to ensure optimal results and minimize any potential sensitivity. Take-home kits are a flexible and cost-effective option for individuals in Shirley who prefer a slower, more controlled whitening process and are committed to following the dentist’s instructions for the best outcome.
Customized Trays

Customized trays are a key component of take-home whitening kits. Your Shirley dentist will create these trays by taking impressions of your teeth, ensuring a perfect fit. This precise fit is crucial because it prevents the whitening gel from leaking onto your gums, which can cause irritation. The custom trays also ensure that the whitening gel is evenly distributed across your teeth, maximizing the effectiveness of the treatment. The personalized nature of the trays guarantees that the whitening process is both safe and efficient. With proper use and adherence to your dentist’s instructions, customized trays offer an excellent means of achieving a brighter, more radiant smile.
Secret 2 The Role of Diet in Whitening
Your diet significantly impacts the color and brightness of your teeth. Certain foods and drinks can stain your teeth, diminishing the effects of whitening treatments and potentially causing discoloration over time. Being mindful of what you consume can help you maintain a white smile. In Shirley, where a variety of dining options are available, understanding the dietary factors that affect teeth whitening is essential. Avoiding staining foods and drinks, and incorporating teeth-friendly options, can help you preserve your bright, beautiful smile for longer.
Foods and Drinks to Avoid
Several foods and drinks are notorious for staining teeth. Limiting your intake of these items can help prevent discoloration and maintain your white smile. This includes beverages like coffee and tea, which contain tannins that stain teeth over time. Red wine, known for its deep color and staining properties, should also be consumed in moderation. Dark sodas, such as cola, are also significant contributors to staining due to their high acidity and dark pigments. Being mindful of what you drink is particularly important following teeth whitening treatments, as your teeth are more susceptible to staining during this period.
Coffee and Tea

Coffee and tea are common culprits when it comes to teeth staining. Both beverages contain tannins, which are compounds that bind to the enamel and cause discoloration. The darker the coffee or tea, the more likely it is to stain your teeth. Drinking these beverages regularly can lead to a gradual darkening of your smile. If you enjoy coffee or tea, consider drinking them through a straw to minimize contact with your teeth, or brush your teeth soon after consumption to remove any staining agents. Alternatively, you can opt for lighter-colored teas or coffee alternatives.
Red Wine and Dark Sodas
Red wine and dark sodas are highly acidic and contain pigments that can easily stain your teeth. The acidity of these drinks can erode the enamel, making your teeth more porous and susceptible to staining. Red wine contains tannins and chromogens, which are staining compounds. Dark sodas, such as cola, contain artificial coloring agents that contribute to tooth discoloration. Drinking these beverages occasionally is fine, but excessive consumption can lead to significant staining. If you choose to enjoy these drinks, rinse your mouth with water or brush your teeth soon afterward to mitigate their staining effects.
Foods That Can Stain Teeth
In addition to beverages, certain foods can also stain your teeth. Being aware of these foods and consuming them in moderation can help protect your smile. Highly pigmented foods, such as berries and sauces, are common culprits, as their vibrant colors can transfer onto your teeth. Curries and other heavily spiced dishes may also contribute to staining, particularly those that use turmeric, which has a strong yellow pigment. Maintaining a balanced diet that includes tooth-friendly foods, and limiting the consumption of staining agents, is essential for preserving your bright smile.
Berries and Sauces

Berries, particularly those with dark pigments like blueberries, blackberries, and raspberries, can stain your teeth. The intense color of these fruits can easily adhere to your enamel. Similarly, sauces like soy sauce, balsamic vinegar, and tomato-based sauces can cause discoloration. These sauces often contain dark pigments and high acidity, both of which contribute to staining. While these foods offer health benefits, consuming them in moderation, rinsing your mouth with water afterward, and brushing your teeth can help minimize their staining effects. Balancing your diet with tooth-friendly options is key to maintaining a white smile.
Secret 3 At-Home Whitening Techniques
For those seeking more accessible and convenient options, at-home teeth whitening techniques can be effective. These techniques include whitening toothpastes, rinses, and strips. They offer a cost-effective way to brighten your smile from the comfort of your home. It’s important to understand their effectiveness and limitations, and to follow the product instructions carefully to achieve the best results and avoid potential issues. While these methods may not provide the dramatic results of professional treatments, they can be a helpful part of your overall oral hygiene routine, particularly for maintaining a bright, healthy smile in Shirley.
Whitening Toothpastes and Rinses
Whitening toothpastes and rinses are readily available and are easy to incorporate into your daily oral hygiene routine. These products typically contain mild abrasive agents or chemical ingredients that help remove surface stains. They are a good option for maintaining your smile and preventing future staining, but they generally do not change the intrinsic color of your teeth. Whitening toothpastes and rinses can be a helpful part of your overall oral hygiene routine, but they are often less effective than professional treatments or whitening strips. For best results, follow the product instructions and use them consistently.
Effectiveness and Limitations

The effectiveness of at-home whitening products varies. Whitening toothpastes and rinses are typically most effective at removing surface stains caused by foods and beverages. They may not be able to significantly lighten your teeth’s overall shade. Whitening strips and gels, which contain a bleaching agent, can provide more noticeable results but may not be as powerful as professional treatments. The level of whiteness achieved with at-home methods depends on the product’s strength, the length of time you use it, and the severity of the staining. It’s important to manage your expectations and recognize that at-home whitening techniques may offer subtle improvements rather than dramatic transformations.
Whitening Strips and Gels
Whitening strips and gels are another popular at-home option. These products contain a bleaching agent, usually hydrogen peroxide, that penetrates the enamel to lighten the teeth. Whitening strips are thin, flexible strips coated with the bleaching agent, which you apply directly to your teeth. Whitening gels are applied using custom or pre-formed trays. Both methods can produce more noticeable results than whitening toothpastes and rinses, although they may not be as effective as professional treatments. It’s crucial to follow the product instructions carefully to ensure safe and effective whitening and minimize potential side effects such as tooth sensitivity or gum irritation.
Proper Application Techniques
Proper application techniques are critical for achieving the best results and avoiding potential problems with at-home whitening products. Before using whitening strips or gels, brush your teeth thoroughly and floss to remove any plaque or debris. Apply the strips or gel as directed, ensuring even coverage across your teeth. Avoid getting the product on your gums, as this can cause irritation. The duration and frequency of use will vary depending on the product, so carefully follow the instructions. If you experience any sensitivity or discomfort, stop using the product and consult your dentist. Consistency and proper technique are essential for achieving a brighter smile at home.
Secret 4 Maintaining Your White Smile
Once you’ve achieved your desired level of whiteness, maintaining your smile requires a consistent oral hygiene routine and regular dental check-ups. This includes proper brushing and flossing, as well as professional cleanings. Good oral hygiene habits are not only crucial for maintaining a white smile but also for overall oral health. Adhering to these practices helps prevent new stains from forming and keeps your teeth healthy. In Shirley, where dental care is readily available, prioritizing a consistent oral hygiene routine is an investment in both your smile’s appearance and your long-term dental health.
Oral Hygiene Routine
A consistent oral hygiene routine is the cornerstone of maintaining a white and healthy smile. This routine should include brushing your teeth at least twice a day, ideally after meals, using fluoride toothpaste. Flossing daily is also essential to remove plaque and food particles from between your teeth, areas that your toothbrush cannot reach. Consider using an antibacterial mouthwash to further reduce bacteria in your mouth. A thorough oral hygiene routine prevents stains from forming and keeps your teeth healthy. Maintaining your oral health is essential for your well-being.
Brushing and Flossing
Proper brushing and flossing techniques are essential for maintaining a white smile. Brush your teeth for at least two minutes each time, using gentle circular motions and ensuring you reach all surfaces of your teeth. Use a soft-bristled toothbrush to avoid damaging your enamel and gums. Floss daily to remove plaque and debris from between your teeth, where your toothbrush cannot reach. Proper flossing technique involves gently sliding the floss between your teeth and along the gum line. Combined, these habits create a strong foundation for oral health, preventing stains and promoting a bright smile. Brushing and flossing diligently in Shirley will pay off.
Regular Dental Check-ups
Regular dental check-ups and professional cleanings are essential for maintaining your white smile and overall oral health. During a check-up, your dentist in Shirley will examine your teeth and gums for any signs of problems, such as cavities or gum disease. Professional cleanings remove plaque and tartar buildup, which can cause stains and contribute to other oral health issues. Regular check-ups also allow your dentist to identify and address any potential problems early on, preventing them from becoming more serious. Schedule your dental check-ups regularly to protect your smile and keep your teeth healthy.
Professional Cleanings
Professional cleanings, performed by a dental hygienist, are a key part of maintaining a bright smile. During a cleaning, the hygienist will remove plaque and tartar that brushing and flossing cannot eliminate. Tartar is a hardened form of plaque that can stain your teeth and lead to gum disease. Professional cleanings also involve polishing your teeth to remove surface stains and leave your teeth feeling smooth and clean. Having your teeth professionally cleaned every six months is recommended to maintain your oral health and keep your smile looking its best. Routine professional cleanings can help you maintain your bright smile in Shirley.
Secret 5 Finding the Right Shirley Dentist
Choosing the right dentist is a crucial step in your teeth whitening journey. The quality of care, the dentist’s experience, and their approach to patient care can significantly impact your results and overall satisfaction. In Shirley, where several dental practices offer teeth whitening services, it’s essential to research and select a dentist who meets your specific needs and preferences. Take the time to research dentists, read reviews, and schedule consultations to find a professional who can provide you with the best care. A good dentist can provide an excellent experience and help you achieve your smile goals.
Research and Reviews
Before choosing a dentist in Shirley, conduct thorough research to find the best fit for your needs. Read online reviews from other patients to gain insight into the dentist’s reputation, patient care, and the quality of their services. Check the dentist’s website for information about their experience, qualifications, and the specific teeth whitening treatments they offer. Consider asking for recommendations from friends, family, or colleagues who have had positive experiences. Taking the time to research dentists will help you find a skilled professional who can deliver the results you desire and provide you with a positive experience.
Checking Credentials and Experience
When selecting a dentist for teeth whitening in Shirley, check their credentials and experience to ensure they are qualified to provide the services you need. Verify that the dentist is licensed and in good standing with the state dental board. Inquire about the dentist’s experience with teeth whitening procedures and ask how many treatments they have performed. Consider whether the dentist has any specialized training or certifications in cosmetic dentistry. Choosing an experienced dentist who has a strong understanding of teeth whitening techniques and the latest advancements in the field is essential for achieving optimal results and ensuring your safety and comfort.
Consultation and Evaluation
Schedule a consultation and evaluation with the dentist before undergoing teeth whitening in Shirley. During the consultation, the dentist will examine your teeth and gums to assess your suitability for teeth whitening. They will discuss your goals, explain the different treatment options available, and recommend the best approach based on your individual needs. The dentist will also address any concerns or questions you may have and provide you with an estimate of the cost and duration of the treatment. The consultation is an opportunity to build rapport with the dentist and determine if you feel comfortable with their approach. A thorough consultation ensures you have realistic expectations and are well-informed before proceeding with the treatment.
Conclusion Achieving a Dazzling Smile in Shirley
Achieving a dazzling smile in Shirley is within reach, thanks to the various teeth whitening options available. From professional in-office treatments to convenient at-home methods, there’s a solution for everyone. By understanding the importance of a bright smile, the role of diet, and the importance of oral hygiene, you can maintain a radiant, confident smile. Taking the time to find the right Shirley dentist and following their advice will lead you to the best possible outcome. Start your journey towards a brighter smile today, and experience the transformative power of a beautiful, white smile.
