What is Teeth Whitening in GA?
Teeth whitening, also known as teeth bleaching, is a cosmetic dental procedure designed to lighten the shade of your teeth. In Georgia (GA), this procedure is readily available through dental offices and at-home kits. The primary goal of teeth whitening is to remove stains and discoloration, resulting in a brighter, more appealing smile. The process typically involves the use of bleaching agents that penetrate the enamel to break down stain molecules. These treatments can range from quick in-office sessions to gradual at-home applications, allowing individuals in GA to choose the method that best suits their needs and preferences. The effectiveness of teeth whitening can vary based on the type of stains, the whitening method used, and individual tooth characteristics. Consulting with a dentist in GA is crucial to determine the most appropriate whitening approach and to ensure the procedure is safe and effective for your specific situation.
The Science Behind Teeth Whitening
The science behind teeth whitening involves the use of bleaching agents, most commonly hydrogen peroxide or carbamide peroxide. These agents work by penetrating the porous enamel surface of the teeth and breaking down the stain molecules. The process is an oxidation reaction, where the peroxide molecules release oxygen radicals. These radicals react with the stain molecules, breaking them apart and effectively lightening the tooth’s appearance. The concentration of the bleaching agent, the duration of the application, and the method of application (in-office vs. at-home) influence the intensity and speed of the whitening process. Additionally, the structure of the enamel and dentin, as well as the type of stain, can affect the final outcome. Understanding this scientific basis helps dental professionals in GA tailor treatments to achieve the best results while minimizing potential side effects like tooth sensitivity.
How Does Teeth Whitening Work?

Teeth whitening works by using chemical agents to break down stains within the tooth’s enamel. The active ingredient, typically hydrogen peroxide or carbamide peroxide, releases oxygen molecules that penetrate the enamel. These oxygen molecules interact with the stain molecules, causing them to break apart and disperse. The process is essentially an oxidation reaction that alters the structure of the stain molecules, making them less concentrated and less visible. In-office whitening procedures often use higher concentrations of bleaching agents and may incorporate light or laser activation to accelerate the process. At-home kits use lower concentrations, requiring more time for the same level of whitening. The effectiveness depends on the type of stain (extrinsic or intrinsic), the concentration of the bleaching agent, and the duration of application. Regular maintenance and avoidance of staining foods and drinks can help sustain the results achieved through teeth whitening procedures available in GA.
Types of Teeth Whitening Procedures
In GA, there are two primary types of teeth whitening procedures available: in-office and at-home treatments. In-office whitening, performed by a dentist, typically involves a higher concentration of bleaching agents and can produce immediate results in a single visit. The dentist applies the whitening solution to the teeth and may use a special light or laser to enhance the bleaching process. This method is ideal for those seeking rapid and dramatic improvements. At-home treatments, on the other hand, involve custom-fitted trays or strips provided by a dentist or purchased over-the-counter. These kits contain lower concentrations of bleaching agents, and require consistent use over several weeks to achieve noticeable whitening. The choice between these methods depends on individual preferences, the desired level of whitening, and budget considerations. Consulting with a dentist in GA is essential to determine the most suitable approach for your specific needs and oral health condition.
In-Office Teeth Whitening
In-office teeth whitening in GA offers several advantages, including faster results and professional supervision. The procedure is performed by a trained dentist, ensuring safety and effectiveness. The dentist applies a high-concentration bleaching agent to the teeth, often activating it with a special light or laser to accelerate the whitening process. This method can significantly lighten the teeth in a single appointment, making it ideal for those seeking immediate results. Before the procedure, the dentist will typically examine the patient’s teeth and gums to ensure they are healthy enough for whitening. Protective measures, such as isolating the gums and lips, are taken to prevent irritation from the bleaching agent. While in-office whitening can be more expensive than at-home options, the convenience and immediate impact often make it a preferred choice for many individuals in GA seeking a brighter smile. The process usually takes around 60-90 minutes.
At-Home Teeth Whitening Kits

At-home teeth whitening kits provide a convenient and cost-effective way to brighten your smile. These kits, available in GA, typically include custom-fitted trays or pre-filled strips containing a lower concentration of bleaching agents. The trays are designed to fit snugly over your teeth, ensuring the bleaching solution is in contact with the enamel. The strips are adhesive and easy to apply directly to the teeth. At-home whitening requires consistent use over several weeks to achieve noticeable results. It’s essential to follow the instructions provided with the kit, including the recommended duration and frequency of use. While at-home kits are generally safe, it’s important to consult with your dentist in GA before starting any whitening treatment to ensure it’s appropriate for your oral health condition and to discuss potential side effects, such as tooth sensitivity. Regular check-ups are also recommended to monitor your progress and address any concerns.
Teeth Whitening vs. Teeth Bleaching
The terms “teeth whitening” and “teeth bleaching” are often used interchangeably, but there’s a subtle difference. Teeth whitening refers to any procedure that lightens the color of your teeth, which can include removing surface stains. Teeth bleaching, however, specifically uses bleaching agents (typically hydrogen peroxide or carbamide peroxide) to lighten the color of the teeth beyond their natural shade. All teeth bleaching procedures are a type of teeth whitening, but not all teeth whitening procedures involve bleaching. In practical terms, when discussing cosmetic dentistry in GA, both terms are commonly used to describe the process of lightening teeth. Both in-office and at-home treatments fall under either category, as they aim to improve the overall brightness and appearance of the smile. Understanding this difference helps in having a clearer conversation with your dentist in GA about the desired results and the most appropriate treatment options.
What to Expect During a Teeth Whitening Procedure
During a teeth whitening procedure in GA, you can expect a comprehensive and carefully managed process. If you opt for in-office whitening, the dentist will first examine your teeth and gums to ensure they are healthy. The procedure begins with isolating your gums and lips to protect them from the bleaching agent. A high-concentration whitening solution is then applied to your teeth, often in multiple cycles. A special light or laser may be used to activate the bleaching agent and speed up the whitening process. You’ll typically wear protective eyewear throughout the procedure. The entire process usually takes about an hour. For at-home treatments, your dentist may provide custom-fitted trays or pre-filled strips. You’ll apply the whitening agent as directed, usually for a few hours a day or overnight, over several weeks. Sensitivity in your teeth is a common side effect, so be prepared. Your dentist in GA will guide you through the entire process, ensuring the best possible results while prioritizing your oral health.
The Teeth Whitening Process

The teeth whitening process involves several key steps, whether performed in-office or at home. In an in-office setting in GA, the dentist begins by cleaning your teeth and isolating the gums with a protective barrier. A high-concentration bleaching agent (usually hydrogen peroxide) is then applied to the teeth. A special light or laser is often used to activate the bleaching agent, enhancing its effectiveness. The process may be repeated multiple times during a single visit to achieve the desired level of whitening. After the procedure, the dentist will provide you with post-treatment instructions, which may include avoiding certain foods and drinks that can stain your teeth. For at-home whitening, the process involves using custom-fitted trays or pre-filled strips provided by your dentist. You will fill the trays with a lower concentration of bleaching agent and wear them for a specified amount of time each day or night. Consistent use over several weeks will gradually lighten your teeth. Regular dental check-ups in GA are essential to monitor your progress and address any concerns.
The Benefits of Teeth Whitening
Teeth whitening offers several significant benefits beyond just a brighter smile. One of the most notable advantages is the boost in self-confidence. Having a whiter, more attractive smile can significantly enhance your self-esteem, making you feel more comfortable and confident in social and professional situations. Additionally, teeth whitening can improve your overall appearance, making you look younger and more vibrant. Beyond the aesthetic benefits, teeth whitening can also motivate better oral hygiene practices. Seeing a noticeable improvement in the appearance of your teeth often encourages individuals to maintain a consistent oral care routine, including regular brushing, flossing, and dental check-ups. Furthermore, teeth whitening procedures available in GA are generally safe and effective, with minimal side effects when performed by qualified professionals. The improved appearance can also lead to a more positive self-image and a greater willingness to smile, leading to increased happiness and well-being.
Boosting Your Confidence
One of the primary benefits of teeth whitening is the significant boost it provides to your self-confidence. A bright, white smile can make you feel more self-assured in social and professional settings. People who are confident in their smile tend to be more outgoing and engage more positively with others. The improved appearance achieved through teeth whitening can reduce feelings of self-consciousness and anxiety about how your smile looks, allowing you to focus on what’s important – connecting with people and achieving your goals. This increased confidence can have a ripple effect, positively influencing various aspects of your life, from your personal relationships to your career prospects. In GA, many individuals seek teeth whitening not just for aesthetic reasons, but also for the profound impact it can have on their self-esteem and overall quality of life.
Enhancing Your Appearance

Teeth whitening can significantly enhance your overall appearance, making you look younger and more vibrant. Discolored teeth can detract from your smile and make you appear older, whereas a bright, white smile can create a more youthful and appealing look. Whitening procedures available in GA can effectively reverse the effects of aging and staining, providing a quick and noticeable improvement in your overall facial aesthetics. A whiter smile can also highlight your facial features, making you appear more attractive and approachable. This enhanced appearance can boost self-esteem and create a positive first impression in both personal and professional contexts. Additionally, teeth whitening is a relatively non-invasive and affordable cosmetic procedure that offers a significant return on investment in terms of improved appearance and self-confidence. The results often lead to a more positive self-image and a greater sense of well-being.
Maintaining Your Whitened Smile
Maintaining your whitened smile requires a combination of good oral hygiene practices and lifestyle choices. After undergoing a teeth whitening procedure in GA, it’s crucial to maintain a consistent oral care routine. This includes brushing your teeth twice a day with a whitening toothpaste, flossing daily, and using mouthwash. Regular dental check-ups and professional cleanings are also essential for removing surface stains and keeping your teeth healthy. Avoiding or minimizing the consumption of staining foods and drinks, such as coffee, tea, red wine, and dark-colored berries, can help prevent discoloration. If you do consume these items, rinse your mouth with water or brush your teeth afterward. Additionally, using a straw for beverages can help reduce contact with your teeth. Consider touch-up treatments or at-home whitening products recommended by your dentist in GA to maintain the brightness of your smile over time. These steps will help ensure that you enjoy the benefits of your teeth whitening procedure for as long as possible.
Following Post-Whitening Care Instructions
Following post-whitening care instructions is crucial for maintaining the results of your teeth whitening procedure. Your dentist in GA will provide specific guidelines, which may include avoiding certain foods and drinks that can stain your teeth for a specified period, typically a week or two. This includes items like coffee, tea, red wine, dark-colored sodas, and heavily pigmented fruits and vegetables. It’s also advisable to avoid smoking, as tobacco can quickly discolor your teeth. You may be advised to use a special toothpaste or mouthwash to help maintain your results. Regular dental check-ups and cleanings are essential to remove surface stains and monitor your oral health. Consider using at-home whitening products recommended by your dentist for touch-ups to keep your smile bright. Always follow your dentist’s specific advice, as post-whitening care can vary depending on the whitening method used and your individual needs. Proper care ensures your smile remains bright and beautiful long after the procedure.
Avoiding Staining Foods and Drinks

To maintain the brightness of your teeth after whitening, it’s essential to avoid or minimize the consumption of staining foods and drinks. These include coffee, tea, red wine, dark-colored sodas, and heavily pigmented fruits and vegetables like blueberries and blackberries. These substances contain chromogens, which are color-producing compounds that can easily stain your teeth. If you consume these items, rinse your mouth with water or brush your teeth soon after. Using a straw for beverages can also help reduce contact with your teeth. Additionally, avoid smoking, as tobacco can quickly discolor your teeth and diminish the results of your whitening procedure. By making conscious choices about what you eat and drink, and by practicing good oral hygiene, you can significantly extend the lifespan of your whitened smile and maintain its brightness for a longer period. Consult your dentist in GA for personalized recommendations.
The Cost of Teeth Whitening in GA
The cost of teeth whitening in GA varies depending on the type of procedure and the dental practice. In-office whitening, which provides immediate results, tends to be more expensive than at-home treatments. The cost typically includes the dentist’s expertise, the use of professional-grade bleaching agents, and the convenience of a single-visit procedure. At-home whitening kits are generally more affordable, as they involve lower concentrations of bleaching agents and require more time to achieve results. The price of at-home kits can vary based on the brand, the type of kit (custom trays vs. pre-filled strips), and whether they are provided by a dentist or purchased over-the-counter. It’s important to consider the long-term value and the potential for consistent results when evaluating the cost of teeth whitening. Consulting with a dentist in GA is essential to get a clear understanding of the costs involved and to determine the best option based on your budget and desired results. Financing options may also be available to make the procedure more accessible.
Factors Influencing the Cost
Several factors influence the cost of teeth whitening in GA. The most significant factor is the type of whitening procedure chosen. In-office whitening, performed by a dentist, typically costs more due to the use of professional-grade materials, the expertise of the dentist, and the immediate results provided. At-home whitening kits are generally more affordable because they involve lower-concentration bleaching agents and require more time for treatment. The specific dental practice also influences the cost; practices in urban areas or those with advanced technology may charge more. The complexity of your case, such as the degree of staining or any pre-existing dental work, can also affect the price. Additionally, any preparatory procedures, like a dental cleaning, will add to the overall cost. When considering teeth whitening in GA, it’s essential to discuss the total cost with your dentist upfront and inquire about any potential financing options to ensure the procedure fits your budget and needs. Compare costs from different practices to get the best value for your investment.
Where to Find Teeth Whitening in GA

Finding teeth whitening services in GA is relatively easy, as many dental practices offer this cosmetic procedure. The best place to start is by searching online for dentists in your local area who specialize in cosmetic dentistry. Websites like Google, Yelp, and Zocdoc can provide listings and reviews of dentists in GA, allowing you to compare practices and read patient feedback. You can also ask for recommendations from friends, family, or colleagues who have had teeth whitening. When choosing a dentist, consider factors like their experience, qualifications, and the types of whitening procedures they offer (in-office and at-home). Many dental practices offer free consultations, providing an opportunity to discuss your goals, assess your oral health, and get a cost estimate. Ensure the dentist is licensed and uses reputable products and techniques. In GA, you can also find teeth whitening kits over-the-counter at drugstores and pharmacies, but it’s always recommended to consult a dentist before using these products to ensure they are suitable for your specific needs.
Finding a Qualified Dentist
Finding a qualified dentist for teeth whitening in GA is crucial for ensuring a safe and effective procedure. Begin by researching local dentists and checking their credentials and experience. Look for dentists with a strong background in cosmetic dentistry and a good reputation for providing quality care. Online reviews and testimonials from other patients can provide valuable insights into the dentist’s skills and patient satisfaction. During your initial consultation, ask about the dentist’s experience with teeth whitening, the types of procedures they offer (in-office and at-home), and the products they use. Make sure the dentist conducts a thorough examination of your teeth and gums to determine if you are a suitable candidate for whitening. A qualified dentist will also explain the potential risks and side effects of the procedure and provide clear instructions on post-whitening care. Choosing a dentist who is knowledgeable, experienced, and committed to patient care will increase the likelihood of achieving a beautiful and healthy smile.
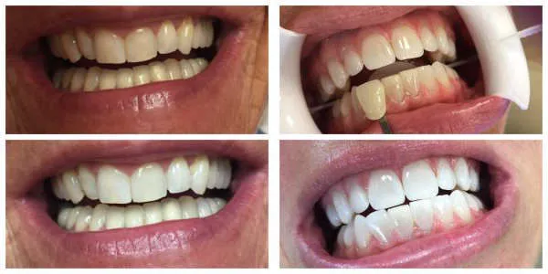
Teeth Whitening Results and Longevity
The results of teeth whitening can vary depending on the type of procedure, the initial level of staining, and individual factors. In-office whitening typically provides immediate results, often lightening teeth by several shades in a single session. At-home whitening kits require more time, with noticeable results appearing gradually over several weeks. The longevity of the results also varies. In general, teeth whitening is not a permanent solution, as teeth can gradually re-stain over time due to factors like diet and lifestyle. The results from in-office whitening can last from several months to a few years, while the results from at-home whitening may last for a shorter period. Proper oral hygiene, including brushing, flossing, and regular dental check-ups, is crucial for maintaining the brightness of your smile. Avoiding or minimizing the consumption of staining foods and drinks, and refraining from smoking, can also extend the life of your whitened teeth. Touch-up treatments or at-home whitening products can be used to maintain the desired level of brightness.
How Long Does Teeth Whitening Last?
The longevity of teeth whitening results varies, but on average, the effects can last from several months to a few years. Several factors influence how long your whitened teeth remain bright. The type of whitening procedure plays a role; in-office whitening often provides longer-lasting results compared to at-home kits. Your diet and lifestyle significantly impact the longevity. Consuming staining foods and drinks (coffee, tea, red wine, etc.) and smoking can accelerate discoloration. Proper oral hygiene practices, including brushing, flossing, and regular dental check-ups, are essential for maintaining your results. Avoiding tobacco products is also highly recommended. Touch-up treatments or the use of at-home whitening products, as recommended by your dentist, can help extend the lifespan of your whitened smile. Regular professional cleanings can remove surface stains and keep your teeth looking their best. By following these guidelines, you can enjoy a brighter smile for an extended period, enhancing your confidence and appearance.
Maintaining a Bright Smile
Maintaining a bright smile after teeth whitening requires consistent effort and a commitment to good oral hygiene and healthy habits. Brush your teeth twice a day with a whitening toothpaste and floss daily to remove plaque and surface stains. Regular dental check-ups and professional cleanings are essential for removing stubborn stains and keeping your teeth healthy. Avoid or minimize the consumption of staining foods and drinks, such as coffee, tea, red wine, and dark-colored berries. If you do consume these items, rinse your mouth with water or brush your teeth soon afterward. Consider using a straw for beverages to reduce contact with your teeth. Avoid smoking, as tobacco can quickly discolor your teeth. Your dentist in GA may recommend touch-up treatments or the use of at-home whitening products to maintain your desired level of brightness. By adhering to these practices, you can enjoy a beautiful, bright smile and extend the benefits of your teeth whitening procedure for years to come. Consult your dentist for personalized recommendations tailored to your specific needs.
Top 5 Facts About Teeth Whitening in GA
Here are the top 5 facts about teeth whitening in GA: 1) In-office whitening offers immediate results, often lightening teeth by several shades in a single visit, providing a quick cosmetic boost. 2) At-home whitening kits are a convenient and more affordable option, requiring consistent use over several weeks to achieve noticeable whitening. 3) Results are not permanent; the longevity of a whitened smile depends on your diet, oral hygiene, and lifestyle choices. 4) Maintaining a bright smile involves avoiding staining foods and drinks (coffee, tea, red wine), regular brushing and flossing, and scheduled dental check-ups. 5) Consulting with a qualified dentist in GA is crucial to determine the best whitening procedure, ensure safety, and address any concerns, ensuring the best possible outcome for your smile.
