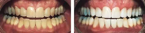
What is Teeth Whitening Oceanside
Teeth whitening in Oceanside, California, is a popular cosmetic dental procedure designed to brighten your smile and remove stains or discoloration from your teeth. It involves various methods, ranging from professional treatments at a dental clinic to at-home kits. The goal is to achieve a more aesthetically pleasing appearance by lightening the shade of your teeth. The procedure has gained significant traction among Oceanside residents who want to enhance their smiles and boost their confidence. This is because a brighter smile is often associated with youthfulness, health, and attractiveness. With the rise of cosmetic dentistry, Oceanside offers several options for teeth whitening to suit individual needs and preferences.
Benefits of Teeth Whitening Oceanside
The advantages of teeth whitening extend beyond mere aesthetics. While a brighter smile undoubtedly enhances your appearance, it also offers several other benefits. In Oceanside, where image and personal presentation are valued, teeth whitening can significantly boost your self-esteem and confidence. When you are proud of your smile, you’re more likely to engage socially and professionally. Furthermore, teeth whitening can motivate you to maintain better oral hygiene practices. Knowing that you have invested in your smile can lead to a greater commitment to brushing, flossing, and regular dental check-ups. The process can also make you appear younger, which can be beneficial in both personal and professional settings. Overall, teeth whitening offers a holistic improvement in both appearance and well-being.
Boost Confidence

One of the most immediate and impactful benefits of teeth whitening in Oceanside is the boost in confidence it provides. A bright, white smile can make you feel more self-assured and comfortable in social situations. This newfound confidence can positively influence your interactions, career prospects, and overall quality of life. People who feel good about their smile tend to smile more often, creating a positive feedback loop of increased self-esteem and improved social interactions. If you’re self-conscious about the color of your teeth, teeth whitening can provide a significant psychological lift, enabling you to present yourself with greater poise and ease.
Improve Oral Health
While teeth whitening primarily targets aesthetics, it can also indirectly contribute to better oral health. The process often motivates individuals to adopt improved oral hygiene practices, such as more frequent brushing and flossing. Maintaining good oral hygiene is crucial for preventing dental issues like cavities, gum disease, and tooth decay. Additionally, regular visits to the dentist for whitening treatments can ensure that any underlying dental problems are identified and addressed early on. A proactive approach to oral health, coupled with teeth whitening, creates a more comprehensive plan for maintaining a healthy and attractive smile. This approach reduces the risk of future dental problems, leading to long-term oral health benefits.
Top 5 Teeth Whitening Oceanside Secrets
Secret 1 Professional Treatment

The first secret to achieving a dazzling smile in Oceanside is professional teeth whitening treatments. These treatments, offered by experienced dentists, use stronger bleaching agents than at-home kits, providing faster and more dramatic results. A professional treatment begins with an examination and cleaning to ensure the best possible outcome. The dentist then applies a high-concentration peroxide gel to the teeth, which is often activated by a special light. This process is carefully monitored to ensure the safety and effectiveness of the treatment. Professional whitening is ideal for individuals who want immediate results or have stubborn stains that resist at-home methods. It is a safe, effective, and efficient way to achieve a noticeably whiter smile in a single visit.
Secret 2 At-Home Whitening Kits
At-home whitening kits provide a convenient and cost-effective alternative to professional treatments. These kits typically include custom-fitted trays or strips filled with a bleaching agent. The dentist will often create custom trays for a perfect fit, ensuring the bleaching agent contacts all tooth surfaces. The user wears the trays or applies the strips for a specified amount of time each day or night, following the instructions provided. While at-home kits may take longer to produce results than professional treatments, they offer a more flexible and budget-friendly option. Consistent use can deliver significant improvements in the shade of your teeth, providing a whiter, brighter smile from the comfort of your home. It is important to consult with your dentist before starting any at-home whitening treatment to ensure it is safe and suitable for your specific needs.
Secret 3 Dietary Choices
Dietary choices play a significant role in maintaining a bright smile. Certain foods and drinks can stain teeth over time. Beverages like coffee, tea, red wine, and dark-colored sodas are notorious for causing discoloration. Additionally, foods such as berries, soy sauce, and curries can contribute to staining. To protect your teeth and enhance the effectiveness of teeth whitening treatments, it’s essential to minimize the consumption of these staining agents. Increasing your intake of teeth-friendly foods, such as apples, celery, and other crunchy vegetables, can help clean your teeth naturally and promote saliva production, which helps to wash away food particles and reduce stain buildup. Making informed dietary choices can support and extend the life of your teeth whitening results.
Secret 4 Good Oral Hygiene

Maintaining excellent oral hygiene is another key secret to achieving and sustaining a bright, white smile. Brushing your teeth at least twice a day with a whitening toothpaste removes surface stains and prevents new stains from forming. Flossing daily removes plaque and food particles from between your teeth, preventing decay and promoting overall oral health. Using an antibacterial mouthwash can further reduce bacteria and help keep your teeth clean. Regular dental check-ups and professional cleanings are also essential for removing built-up plaque and tartar, which can dull your smile. Adhering to a consistent and thorough oral hygiene routine is the best way to support your teeth whitening efforts and keep your smile radiant.
Secret 5 Regular Dental Check-ups
Regular dental check-ups are the cornerstone of maintaining healthy teeth and a beautiful smile. During these visits, your dentist will perform a thorough examination to check for any signs of decay, gum disease, or other dental problems. Professional cleanings remove plaque and tartar, which can stain your teeth and contribute to discoloration. Regular check-ups also allow your dentist to monitor the effectiveness of any teeth whitening treatments you’ve undergone and make recommendations for maintaining your results. Moreover, your dentist can provide personalized advice on oral hygiene practices and dietary choices. By scheduling regular dental check-ups, you can ensure that your teeth remain healthy and that you have a confident, bright smile.
Finding the Best Teeth Whitening Oceanside Clinic
Finding the right Oceanside clinic for teeth whitening is essential for achieving the desired results safely and effectively. Start by researching local dentists and reading online reviews to gauge their reputation and customer satisfaction. Look for a clinic that offers a variety of teeth whitening options, including professional treatments and at-home kits. It’s important to consider the experience and qualifications of the dentist and the staff, ensuring they are trained and certified in cosmetic dentistry. During your initial consultation, discuss your goals and any concerns you may have and inquire about the specific procedures they offer, the costs, and the expected outcomes. Choosing a clinic that prioritizes patient care, uses modern equipment, and has a strong track record will greatly increase your chances of a successful teeth whitening experience.
Factors to Consider

Several factors should be considered when choosing a teeth whitening treatment in Oceanside. The first is the type of stains you have. Surface stains, caused by foods and drinks, are typically easier to remove than intrinsic stains, which are deeper within the tooth. The overall health of your teeth is also important; teeth whitening may not be suitable if you have cavities, gum disease, or other dental issues. Your dentist will assess your dental health during a consultation. The desired level of whitening is another key factor; discuss your expectations with your dentist to determine the most appropriate treatment plan. Finally, your budget and lifestyle should also influence your decision. At-home kits are generally more affordable, but professional treatments offer quicker results. By considering these factors, you can choose a teeth whitening option that meets your individual needs.
Cost and Pricing
The cost of teeth whitening in Oceanside varies depending on the type of treatment you choose. At-home whitening kits are typically the most budget-friendly option, with prices ranging from a few dollars to a few hundred dollars, depending on the brand and the method. Professional teeth whitening treatments at a dental clinic are generally more expensive, but offer faster and more dramatic results. The cost of professional whitening can range from several hundred to over a thousand dollars, depending on the specific procedure and the clinic’s fees. When considering the cost, also factor in the potential for maintenance, such as touch-up treatments. Many dental offices offer financing options, and some insurance plans may cover a portion of the cost. Always discuss the pricing and payment options with your dentist to ensure that the treatment fits your budget.
Teeth Whitening Oceanside Aftercare Tips
Following proper aftercare is crucial for maintaining your newly whitened smile. After any teeth whitening treatment, avoid consuming foods and drinks that can stain your teeth, such as coffee, tea, red wine, and dark-colored sauces, for at least 24 to 48 hours. Continue to brush your teeth twice a day with a whitening toothpaste and floss daily to remove plaque and prevent new stains. Regular dental check-ups and professional cleanings are essential for maintaining your results and addressing any potential dental issues. If you experience any sensitivity, consult your dentist, who may recommend desensitizing toothpaste or other treatments. By diligently following these aftercare tips, you can ensure that your bright, beautiful smile lasts for years to come.
