Understanding Teeth Whitening Secrets
A dazzling, white smile is often seen as a sign of youth, health, and attractiveness. Achieving this bright smile has become increasingly accessible thanks to the advancements in teeth whitening procedures. However, many people are unaware of the underlying factors that cause teeth discoloration or the different methods available to restore their pearly whites. This guide will explore the secrets behind effective teeth whitening, offering valuable insights into how you can achieve and maintain a brighter, more confident smile. Understanding the basics is the first step towards making informed decisions about your oral health and cosmetic goals. The journey to a brighter smile starts with knowledge.
What Causes Teeth Discoloration?
Before diving into the whitening process, it’s crucial to understand what causes teeth to lose their natural brightness. Teeth discoloration can stem from various factors, both internal and external. These factors affect the enamel and dentin of your teeth, leading to changes in color. A clear understanding of these causes will not only help you prevent future staining but also guide you in selecting the most appropriate whitening method. Moreover, knowing the underlying causes can help you adjust your lifestyle to protect the brilliance of your smile.
Foods and Drinks That Stain Teeth

Certain foods and beverages are notorious for staining teeth. Dark-colored substances contain chromogens, which are pigments that attach to the enamel, causing discoloration. Coffee, tea, red wine, and dark-colored sodas are some of the biggest culprits. Berries, such as blueberries and blackberries, and sauces like soy sauce and balsamic vinegar also contribute to staining. Regular consumption of these items can gradually diminish the brightness of your teeth. Reducing or moderating the intake of these staining agents can significantly preserve your teeth’s natural whiteness. Consider rinsing your mouth with water after consuming these items to mitigate their effects.
Lifestyle Factors That Affect Teeth Color
Beyond diet, lifestyle choices play a significant role in teeth discoloration. Smoking and tobacco use are major contributors, as nicotine and tar can lead to yellowing and staining. Poor oral hygiene, including infrequent brushing and flossing, can cause plaque and tartar buildup, resulting in a dull appearance. Furthermore, aging naturally causes the enamel to thin, revealing the yellowish dentin underneath. Certain medications, such as tetracycline, can also stain teeth, particularly if taken during childhood. Being mindful of these factors and adopting healthier habits can help in maintaining a brighter smile.
The Science Behind Teeth Whitening
Teeth whitening works by using bleaching agents to break down the stains and discoloration embedded in the enamel and dentin. The primary active ingredients in most whitening products are hydrogen peroxide or carbamide peroxide. These chemicals release oxygen molecules that penetrate the enamel, reacting with the stain molecules and breaking them down into smaller, less visible components. The effectiveness of the whitening process depends on the concentration of the bleaching agent, the duration of application, and the type of stains present. Understanding the chemistry behind this process can help you appreciate the science of a bright smile and the importance of following the recommended guidelines.
How Whitening Agents Work

The whitening process involves the oxidation of the stain molecules. The peroxide agents, when applied to the teeth, release oxygen radicals. These radicals diffuse through the enamel and dentin, breaking down the large, complex stain molecules into smaller, colorless ones. This process is gradual, and the duration varies based on the concentration of the agent and the severity of the stains. Professional treatments often use higher concentrations of peroxide, leading to faster results compared to at-home kits. The effectiveness is also influenced by the porous nature of enamel, allowing the agents to penetrate and reach the discoloration. It’s a delicate balance of chemistry and time.
Types of Teeth Whitening Procedures
The world of teeth whitening offers various procedures, each tailored to different needs and preferences. From professional treatments performed by dental professionals to over-the-counter products, the options are diverse. Understanding the types of procedures available is essential to choose the most suitable method for your situation, considering factors such as the degree of staining, sensitivity of your teeth, and budget. Some procedures provide immediate results, while others require consistent application over a period. This knowledge will help you navigate the choices and achieve the smile you desire.
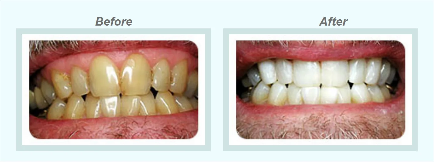
Professional Teeth Whitening Options
Professional teeth whitening, performed by a dentist, offers the most effective and immediate results. These procedures use high concentrations of bleaching agents, typically hydrogen peroxide, which are applied to the teeth under controlled conditions. This ensures safety and maximizes the whitening effect. The dentist can also assess your oral health, identify any underlying issues, and tailor the treatment to your specific needs. Professional whitening is ideal for individuals seeking significant improvements in a short amount of time. It often includes the use of special lights or lasers to accelerate the bleaching process. With the guidance of a professional, you can achieve dramatic results.
In-Office Whitening

In-office whitening is a fast and efficient way to brighten your smile. The procedure usually takes about an hour and involves the application of a high-concentration hydrogen peroxide gel to your teeth. The dentist may use a special light or laser to activate the gel, accelerating the whitening process. Before the procedure, your gums are protected to prevent irritation. Multiple sessions might be needed for optimal results, depending on the extent of the discoloration. The immediate impact and professional supervision make this option a popular choice for those looking for dramatic changes. It is a convenient and safe procedure, providing significant cosmetic benefits.
At-Home Whitening Kits
At-home whitening kits provide a convenient and cost-effective way to whiten teeth in the comfort of your home. These kits typically include custom-fitted trays and a bleaching gel, usually containing a lower concentration of hydrogen or carbamide peroxide than professional treatments. Your dentist might create these trays for a more precise fit, maximizing the effectiveness of the treatment. Instructions usually require wearing the trays for a specified amount of time daily, over several weeks. While at-home kits take longer to produce visible results, they are a suitable option for those with milder staining or who prefer a more gradual approach. Proper use, as directed by your dentist, is essential to ensure safe and effective results.
Over-the-Counter Whitening Products
Over-the-counter (OTC) whitening products are readily available and offer a variety of options for those seeking a brighter smile. These include whitening toothpastes, strips, and gels. Whitening toothpastes contain mild abrasives and chemicals to remove surface stains. Whitening strips are thin, flexible strips coated with a bleaching agent that you apply directly to your teeth. Whitening gels are applied using a tray similar to those used in professional treatments. OTC products are generally less potent than professional treatments or at-home kits prescribed by a dentist, making them safer but also less effective for significant discoloration. Following the product instructions and being aware of potential sensitivity are crucial when using OTC products.
Teeth Whitening at Home

Whitening your teeth at home offers an accessible and budget-friendly alternative to professional treatments. However, it requires careful attention to product selection, proper usage, and consistency. It is important to be realistic about the results that can be achieved with at-home methods and to follow all instructions provided with the products. While these methods are often less powerful than professional treatments, they can still significantly improve the appearance of your teeth and boost your confidence. The key is to find the right products for your needs and adhere to the recommended usage to achieve the best possible results.
Whitening Toothpastes
Whitening toothpastes are a staple in many oral hygiene routines. They work by using mild abrasives and chemical agents to remove surface stains. These toothpastes contain ingredients like hydrated silica or baking soda that gently polish the teeth and remove stains caused by food and drink. Some also include mild bleaching agents, but the concentration is usually low enough to prevent significant whitening effects. Regular use of whitening toothpastes can help maintain the brightness of your teeth and prevent new stains from forming. However, they are not effective for deeper stains or significant discoloration, which require more potent treatments.
Whitening Strips
Whitening strips are a popular and convenient at-home whitening option. They are thin, flexible strips coated with a bleaching agent, typically hydrogen peroxide, which adhere directly to your teeth. You apply these strips for a specified amount of time each day, as instructed on the package. The strips are designed to conform to the shape of your teeth, ensuring even coverage. They are generally easy to use and can produce noticeable results within a few weeks. However, the effectiveness of whitening strips can vary depending on the concentration of the bleaching agent and the severity of the stains. Some people may also experience temporary sensitivity while using these strips.
Home Remedies for Teeth Whitening

Several home remedies have gained popularity for teeth whitening, though their effectiveness is often debated. These remedies range from brushing with baking soda to using activated charcoal or oil pulling. Baking soda acts as a mild abrasive and can help remove surface stains, while activated charcoal is believed to absorb impurities. Oil pulling, which involves swishing oil in your mouth, is thought to remove bacteria and improve oral health. While some individuals report positive results, it’s crucial to approach these remedies with caution. The effectiveness varies, and some methods may be too abrasive and could potentially damage the enamel. Always consult with your dentist before trying these alternative methods.
Maintaining Your Bright Smile
Achieving a bright, white smile is only half the battle. Maintaining that radiance requires a proactive approach to oral hygiene and lifestyle choices. Several strategies can help preserve the results of your whitening treatment and prevent future discoloration. Regular dental check-ups, proper brushing and flossing, and avoiding staining foods and drinks are key components of maintaining a healthy, bright smile. Being committed to these practices will help extend the life of your whitened teeth and boost your confidence for years to come.
Tips to Keep Your Teeth White
Several practices can help in preserving your teeth’s whiteness. Brushing your teeth twice a day with a fluoride toothpaste and flossing daily removes plaque and food particles, preventing stains. Rinse your mouth with water after consuming staining foods and drinks, and consider using a straw to minimize contact with your teeth. Avoid smoking and tobacco products, as they contribute significantly to discoloration. Consider using a whitening toothpaste or mouthwash to enhance your oral hygiene routine. Regular professional dental cleanings can also remove surface stains and maintain your bright smile. Being consistent with these habits is crucial.
Regular Dental Check-ups

Regular dental check-ups are essential for maintaining oral health and preserving your bright smile. During these visits, your dentist will professionally clean your teeth, removing plaque and tartar buildup. They can also identify any potential issues, such as cavities or gum disease, before they worsen. Professional cleanings can also remove surface stains, which helps maintain the brightness of your teeth. Your dentist may also provide guidance on your oral hygiene practices and recommend specific products to help you maintain your results. Routine check-ups are vital for preventing problems and keeping your smile healthy and radiant.
Avoiding Staining Foods and Drinks
Limiting your intake of staining foods and drinks is a crucial step in maintaining a bright smile. Coffee, tea, red wine, and dark-colored sodas are among the biggest culprits, but other foods, such as berries and soy sauce, can also contribute to discoloration. If you can’t completely eliminate these items from your diet, consume them in moderation and rinse your mouth with water immediately afterward. Using a straw when drinking dark beverages minimizes contact with your teeth. Being mindful of your dietary choices and adopting preventive measures can significantly help preserve the results of your teeth whitening treatment.
In conclusion, achieving and maintaining a bright, white smile involves understanding the causes of teeth discoloration, selecting appropriate whitening procedures, and adopting consistent oral hygiene practices. Whether you choose professional treatments, at-home kits, or over-the-counter products, following the recommendations and guidelines is key to success. By being proactive in your approach to oral health and making informed choices, you can enjoy a confident and dazzling smile. Remember, a bright smile is an investment in your health and appearance and it is attainable with the right approach and commitment.
