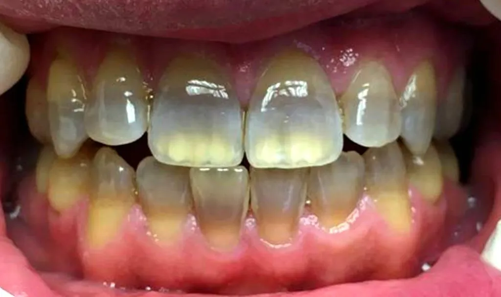
Understanding Tetracycline Staining
Tetracycline staining is a common cosmetic dental issue that affects the color of your teeth. It arises from exposure to tetracycline antibiotics during tooth development, either in the womb, during infancy, or early childhood. The antibiotic integrates into the developing tooth structure, causing discoloration that ranges from yellow to brown or even a grayish-blue hue. This staining is often more pronounced in the permanent teeth than in the baby teeth, and the severity can vary widely depending on the dosage, duration of exposure, and the stage of tooth development. Understanding the nature of tetracycline staining is the first step in addressing this concern and exploring effective treatment options to restore a brighter, more confident smile. The staining is not just a surface issue it is ingrained into the tooth structure itself, making traditional whitening methods less effective and necessitating more comprehensive approaches.
What Causes Tetracycline Staining
The primary cause of tetracycline staining is the ingestion of tetracycline antibiotics during the formative years of tooth development. This antibiotic binds to calcium, which is a crucial component of teeth, leading to discoloration. The staining process occurs because tetracycline becomes incorporated into the enamel and dentin, the hard tissues that make up the tooth. The degree of staining depends on several factors, including the specific type of tetracycline antibiotic, the dosage, the duration of exposure, and the age at which the exposure occurred. It is crucial to note that tetracycline staining is typically irreversible without professional intervention. Therefore, preventive measures, such as avoiding tetracycline use in pregnant women and young children unless absolutely necessary, are essential in mitigating this problem. The awareness of the causes empowers individuals to make informed decisions about their dental health and seek timely solutions.
Severity of Tetracycline Staining

The severity of tetracycline staining is graded on a scale, reflecting the extent and appearance of the discoloration. This grading helps dentists determine the most appropriate treatment plan. The staining can range from mild yellowing or brown banding to more severe cases involving dark gray or blue hues that affect the entire tooth structure. The pattern of staining can also vary, with some teeth displaying horizontal bands while others exhibit a more uniform discoloration. Factors influencing the severity include the dose and duration of tetracycline exposure and the developmental stage of the teeth during exposure. More severe staining often requires more aggressive and comprehensive treatments, such as veneers or crowns, to achieve the desired cosmetic outcome. Understanding the severity of the staining is important because it directly influences the treatment options available and the expected results.
Whitening Tetracycline Stained Teeth Top 5 Methods
Dealing with tetracycline-stained teeth requires a multifaceted approach. While traditional whitening methods often prove inadequate, several effective options are available to restore your smile’s natural brilliance. The choice of the best method depends on the severity of the staining, individual preferences, and budget considerations. It is crucial to consult a dentist to determine the most suitable treatment plan and understand the potential outcomes. Let’s explore the top 5 methods used to whiten tetracycline-stained teeth, offering a comprehensive overview of each and their respective benefits. These treatments range from professional procedures to at-home remedies. The goal is to provide you with the necessary information so that you can make an informed decision about how to whiten your teeth.
Professional Teeth Whitening
Professional teeth whitening, performed by a dentist, is one of the most effective ways to lighten tetracycline-stained teeth. These in-office treatments utilize higher concentrations of bleaching agents than those found in at-home kits, yielding faster and more significant results. The dentist applies the bleaching agent directly to the teeth and often uses a special light or laser to accelerate the whitening process. While professional whitening can significantly improve the appearance of stained teeth, it may not completely eliminate the staining, particularly in severe cases. Several sessions may be required to achieve the desired level of brightness. The dentist can also assess your teeth and recommend the most appropriate treatment based on the severity and type of staining. Although it is more expensive than at-home methods, professional whitening provides the best chance of noticeable improvements.
Laser Whitening

Laser whitening is an advanced form of professional teeth whitening that uses a laser to activate the bleaching agent. The laser light accelerates the whitening process by penetrating the enamel and dentin, breaking down the stain molecules. This method can produce dramatic results in a single session. Laser whitening is generally safe and can significantly improve the appearance of tetracycline-stained teeth. However, the effectiveness can vary depending on the severity of the staining. Some individuals may experience temporary tooth sensitivity following the treatment. Laser whitening is a more expensive option but provides a faster way to achieve a brighter smile. Your dentist will assess your teeth and explain the expected results and potential risks before proceeding.
Custom Tray Whitening
Custom tray whitening involves a dentist creating custom-fitted trays that fit precisely over your teeth. You’ll receive professional-strength whitening gel to use at home. This method offers a balance between professional and at-home treatments, providing more control over the whitening process. The custom trays ensure that the whitening agent contacts all tooth surfaces evenly, minimizing the risk of gum irritation. The whitening gel is applied to the trays, which are then worn for a specified amount of time each day or night, as directed by your dentist. While custom tray whitening takes longer to produce results than in-office treatments, it can be a more cost-effective option and is often preferred by patients who want gradual improvements. Your dentist will monitor your progress and make adjustments as needed.
At-Home Whitening Options
At-home whitening options provide a more convenient and affordable way to whiten teeth. While these methods may not be as effective as professional treatments for severe tetracycline staining, they can still provide noticeable improvements for milder cases. Several over-the-counter products are available, including whitening strips, gels, and toothpastes. It’s essential to follow the product instructions carefully and be patient, as it typically takes longer to see results compared to in-office treatments. Your dentist can offer guidance on choosing the most appropriate at-home whitening product and advise on its proper use to maximize results and minimize potential side effects. The key is to be realistic about the potential outcome and understand that these treatments might not entirely remove tetracycline staining.
Over-the-Counter Whitening Strips and Gels

Over-the-counter whitening strips and gels are readily available at most drugstores and offer a convenient and relatively affordable way to whiten teeth. These products typically contain a lower concentration of bleaching agents than professional treatments, making them less effective for severe tetracycline staining. Whitening strips are thin, flexible strips coated with a whitening agent that you apply directly to your teeth. Whitening gels can be applied using a custom tray or directly to the teeth with an applicator. While these products may provide some improvement, results can vary, and they might not be sufficient for those with significant staining. Always follow the product instructions carefully, and be aware that some individuals may experience temporary tooth sensitivity or gum irritation. Consultation with your dentist is advisable to determine the most suitable product and to understand the realistic expectations.
Whitening Toothpastes
Whitening toothpastes are designed to remove surface stains and may provide a slight brightening effect for tetracycline-stained teeth. These toothpastes typically contain mild abrasives or chemicals to help polish the teeth and remove stains. They are generally not effective at removing deep-seated tetracycline staining. The best use of whitening toothpastes is as part of your daily oral hygiene routine to maintain your teeth’s brightness. While using whitening toothpastes is a good practice, they are not a stand-alone solution for significant discoloration. Your dentist may recommend them as part of a comprehensive approach, which includes professional treatments or other methods that can address the root cause of the staining. To achieve significant whitening, you’ll likely need to explore other methods, such as in-office treatments or custom tray whitening, along with professional advice.
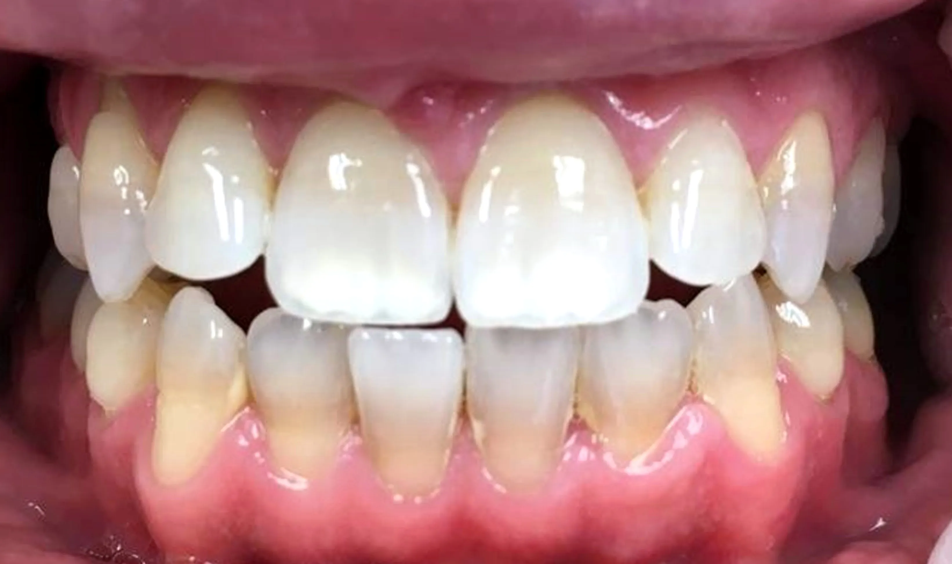
Dental Veneers
Dental veneers are a highly effective solution for tetracycline-stained teeth, particularly when other whitening methods are not sufficient. Veneers are thin, custom-made shells, usually made of porcelain, that are bonded to the front surface of the teeth. They provide a natural-looking and durable solution that can effectively cover up the discoloration caused by tetracycline staining. Veneers not only address the staining but also can improve the shape, size, and overall appearance of your teeth, providing a complete smile makeover. This method involves a minimal amount of tooth preparation, and the results are often long-lasting. Veneers are a popular choice for those looking for a permanent solution. The process typically involves a consultation, tooth preparation, impression taking, and the bonding of the veneers to the teeth.
How Veneers Work

The veneer process involves several steps, including a detailed consultation with your dentist to assess your oral health and discuss your expectations. A small amount of enamel is removed from the front of your teeth to make space for the veneers, ensuring that the final result looks natural and does not feel bulky. Impressions are taken of your teeth, which are then sent to a dental lab where the custom veneers are created. Temporary veneers may be placed while the permanent ones are being made. Once ready, the veneers are bonded to your teeth using a special cement and light curing process. This creates a strong and durable bond that provides a long-lasting solution. With proper care, veneers can last for many years, giving you a bright, beautiful smile. Regular dental check-ups and good oral hygiene are crucial to maintaining the health and appearance of your veneers.
Maintaining Your Whitened Smile
Maintaining a whitened smile requires a consistent approach to oral hygiene and lifestyle choices. While professional treatments and cosmetic procedures can effectively remove stains, certain habits can lead to discoloration. The goal is to preserve your brighter smile for as long as possible. This involves the daily practices of oral hygiene, dietary considerations, and regular dental check-ups. You should follow these guidelines to ensure that your teeth remain white and healthy. Remember, consistent care and attention are the keys to enjoying a long-lasting, radiant smile. Taking proactive measures will help prevent future staining and maintain the results of your whitening treatment.
Oral Hygiene Practices
Effective oral hygiene is crucial for maintaining a bright smile and preventing future staining. Brush your teeth at least twice a day for two minutes each time, using a fluoride toothpaste. Flossing daily is equally important, as it removes food particles and plaque from between your teeth and along the gum line. Consider using an electric toothbrush, which can be more effective at removing plaque and stains than manual brushing. Regular use of an antimicrobial mouthwash can help reduce bacteria and freshen breath. Remember to clean your tongue to remove bacteria that cause bad breath. These practices form the foundation for healthy teeth. It is essential to practice good oral hygiene habits to remove surface stains and prevent future staining.
Dietary Considerations

Diet plays a significant role in maintaining a bright smile. Certain foods and beverages can stain your teeth, including coffee, tea, red wine, and dark-colored berries. Limiting your intake of these items and rinsing your mouth with water after consuming them can help minimize staining. Smoking and chewing tobacco are major contributors to tooth discoloration. Avoiding these habits is crucial for overall health and maintaining a bright, white smile. Eating crunchy fruits and vegetables, such as apples and carrots, can help naturally clean your teeth. Following a balanced diet and making informed food choices can help protect the results of your teeth whitening treatment. Make dietary modifications as part of your plan to keep your teeth brighter and healthier.
Regular Dental Check-ups
Regular dental check-ups and professional cleanings are essential for maintaining a bright, healthy smile. Your dentist can remove any plaque or tartar that may have accumulated, helping to prevent staining and maintain the results of your whitening treatment. During your check-up, your dentist will also assess your overall oral health and identify any potential issues, such as cavities or gum disease. Professional cleanings can remove surface stains and polish your teeth, making them appear brighter. Following your dentist’s recommendations and scheduling regular visits are crucial for maintaining a healthy and beautiful smile. Regular visits allow for early detection and treatment of any dental problems, ensuring that your teeth remain healthy and bright for years to come. Be sure to schedule checkups at least twice a year, or as recommended by your dentist.
Conclusion
Tetracycline staining can be a source of embarrassment for many, but there are several effective methods to address this cosmetic concern. From professional teeth whitening to at-home options and cosmetic procedures like veneers, various treatments cater to different needs and budgets. Understanding the causes and severity of the staining helps in choosing the most appropriate method. The key is consulting your dentist to determine the best course of action and to ensure the desired outcome. Maintaining your whitened smile requires consistent oral hygiene practices, mindful dietary choices, and regular dental check-ups. By adopting a proactive approach, you can effectively manage tetracycline staining and enjoy a confident, radiant smile for years to come. The journey to a brighter smile begins with knowledge, planning, and taking action, leading to a healthier, more confident you. Take the initiative and seek professional advice to discover the best options for your teeth.
