Achieving a brighter smile is a common goal, and teeth whitening strips are a convenient way to get there. However, these strips can sometimes lead to gum irritation, causing discomfort and concern. Understanding why this happens and knowing how to prevent and treat it is essential. This guide provides the top 5 tips to help you navigate the world of whitening strips while keeping your gums healthy and happy. By following these simple strategies, you can achieve a dazzling smile without compromising your oral health.
What Causes Gum Irritation From Whitening Strips
The primary culprit behind gum irritation from whitening strips is usually the active ingredient hydrogen peroxide. This chemical, which is designed to break down stains on your teeth, can also irritate the sensitive tissues of your gums if it comes into contact with them for too long or in too high a concentration. The concentration of hydrogen peroxide in whitening strips can vary, and stronger concentrations can increase the risk of irritation. Additionally, improper application or ill-fitting strips can lead to the bleaching agent coming into direct contact with your gums.
Hydrogen Peroxide & Gum Irritation
Hydrogen peroxide works by penetrating the enamel and oxidizing the stain molecules within your teeth. However, its chemical properties also make it potentially irritating to soft tissues. When it comes into contact with your gums, it can cause inflammation, redness, and even a burning sensation. The severity of the irritation depends on several factors, including the concentration of the peroxide, the duration of exposure, and the individual’s sensitivity. Some people may experience mild sensitivity, while others may suffer from more significant discomfort.
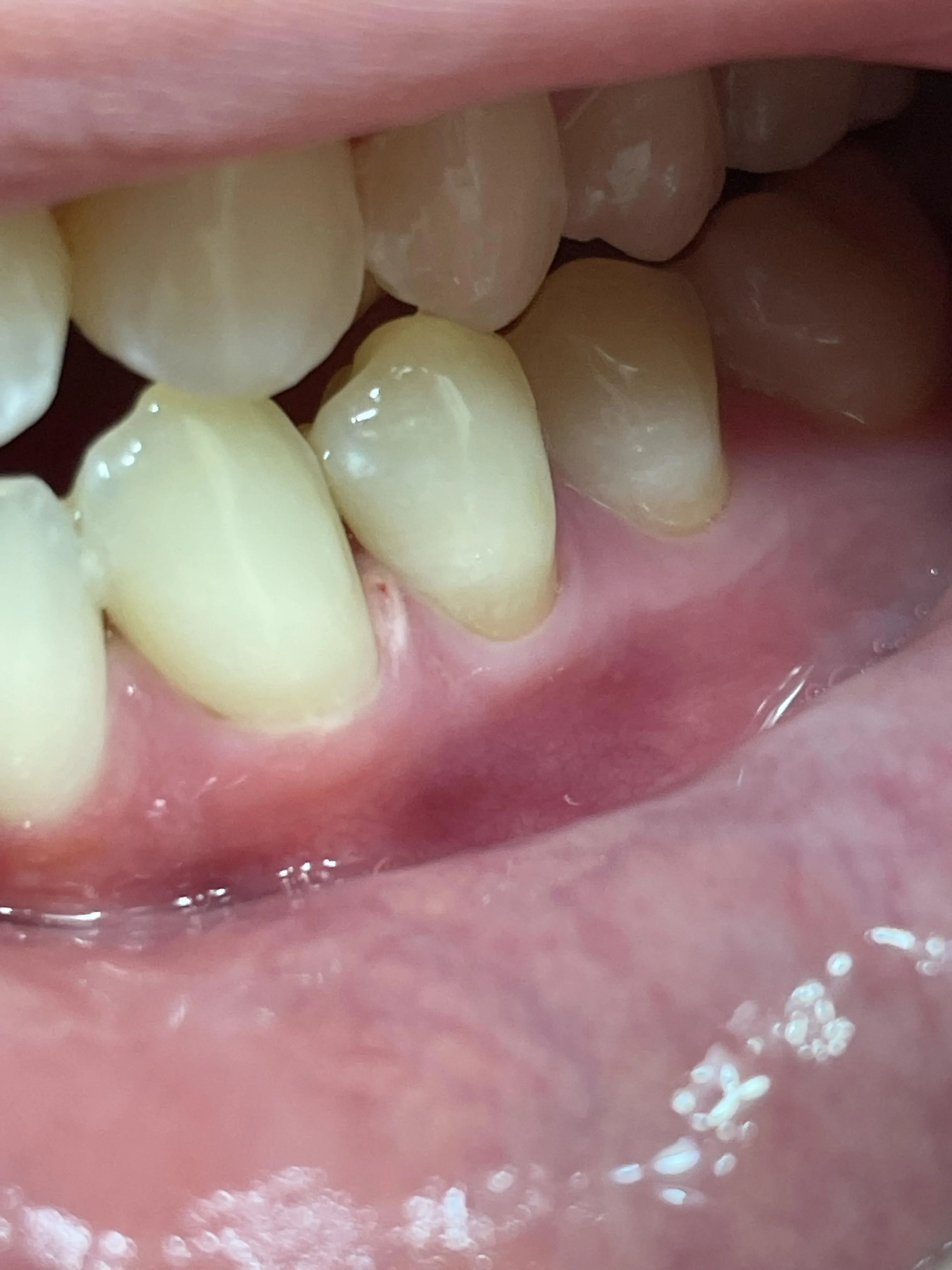
How Whitening Strips Affect Gum Tissue

The way whitening strips are designed can also contribute to gum irritation. Strips that are too large or not properly applied can overlap onto the gums, allowing the whitening agent to seep into the gum tissue. Furthermore, the extended contact time of the hydrogen peroxide during the whitening process increases the likelihood of irritation. Even if the strips fit well, the porous nature of the gum tissue allows for absorption of the chemical. This is why it’s crucial to follow the instructions carefully and to be mindful of how the strips interact with your gums.
Top 5 Tips to Prevent Gum Irritation
Preventing gum irritation is entirely possible by taking a few precautions. Here are our top 5 tips to keep your gums healthy while whitening your teeth. Following these recommendations will help you enjoy a brighter smile without the discomfort of inflamed gums. Remember, a proactive approach is key to a positive teeth-whitening experience. By incorporating these tips into your routine, you can maximize your results and minimize potential side effects.
Choose the Right Whitening Strips
Not all whitening strips are created equal. Some strips contain lower concentrations of hydrogen peroxide, which are less likely to cause irritation. Look for products specifically labeled for sensitive teeth or gums. These strips are formulated with gentler ingredients and are designed to minimize potential side effects. Always read the product descriptions and reviews to determine the best option for your needs. Consulting your dentist can also help you choose the most appropriate product for your specific oral health situation. Consider this the first step towards a more comfortable whitening experience.
Proper Application Techniques

Correct application is key to preventing gum irritation. Make sure your teeth are dry before applying the strips, as this helps them adhere better. Carefully align the strips along your gumline, ensuring that they do not overlap onto your gums. If the strips are too long, trim them with clean scissors to fit your teeth comfortably. Avoid pressing the strips down too hard, as this can force the whitening agent onto your gums. By following these simple steps, you can significantly reduce the risk of irritation and maximize the effectiveness of the whitening process.
Limit Strip Use Duration
Following the recommended usage time is crucial. Overuse of whitening strips can significantly increase the risk of gum irritation. Never exceed the recommended time for application, as this can expose your gums to the whitening agent for too long. If you experience any discomfort, remove the strips immediately, even if it’s before the recommended time. Start with shorter application times and gradually increase if needed, but always prioritize your comfort. Be patient; it’s better to whiten your teeth gradually and safely than to rush the process and risk gum irritation.
Use Sensitive Options
If you have sensitive gums or teeth, consider using whitening strips specifically designed for sensitive teeth. These strips typically contain a lower concentration of hydrogen peroxide or use alternative whitening agents that are gentler on the gums. They often come with features designed to minimize contact with gum tissue. Reading reviews and consulting your dentist can also help you choose the best option for your needs. Starting with a sensitive formula can reduce the chances of irritation and provide a more comfortable whitening experience.
Post-Whitening Care

Caring for your teeth and gums after using whitening strips is essential. Rinse your mouth thoroughly with water or a fluoride mouthwash to remove any residual whitening agent. Avoid brushing your teeth immediately after applying the strips, as this can further irritate your gums. Refrain from consuming highly acidic foods and drinks, such as citrus fruits and sodas, for a few hours after whitening, as they can exacerbate sensitivity. Maintaining good oral hygiene habits, including regular brushing and flossing, will help to soothe your gums and promote overall oral health.
Treating Existing Gum Irritation
Despite your best efforts, you may still experience some gum irritation. Fortunately, there are several steps you can take to soothe and treat irritated gums. It’s important to address the issue promptly to avoid further discomfort and potential complications. By taking the right approach, you can reduce inflammation and promote healing, allowing you to continue your teeth-whitening journey safely.
Rinse with Water or Mouthwash
If you experience gum irritation, the first step is to rinse your mouth thoroughly with cool water. This helps to remove any residual whitening agent and soothe the irritated tissues. You can also use a fluoride mouthwash, which can help to reduce inflammation and promote healing. Avoid mouthwashes that contain alcohol, as they can further dry out and irritate your gums. Gently swish the water or mouthwash around your mouth for about 30 seconds, and then spit it out.
Avoid Irritants

During the period of irritation, it’s important to avoid anything that could worsen the condition. This includes highly acidic foods and drinks, such as citrus fruits, tomatoes, and sodas. Also, avoid spicy foods, which can irritate sensitive gums. Use a soft-bristled toothbrush and brush gently to avoid further abrasion. If you smoke, consider refraining from smoking, as it can slow down the healing process. Give your gums a break by avoiding irritants while they recover.
Consult Your Dentist
If your gum irritation is severe, persistent, or accompanied by other symptoms like bleeding or significant pain, it’s essential to consult your dentist. They can assess the condition of your gums and determine the underlying cause. Your dentist may recommend specific treatments, such as a prescription for an anti-inflammatory medication or a special mouthwash. They can also provide personalized advice on how to manage your gum irritation and prevent future issues. Seeking professional help is crucial for addressing any underlying problems and ensuring optimal oral health.
Alternative Whitening Methods
If you are prone to gum irritation, there are several alternative teeth-whitening methods you can consider. These options may be gentler on your gums while still delivering effective results. Before trying any new method, consult your dentist to determine the best option for your oral health. Each method has its own set of advantages and disadvantages, and your dentist can help you make an informed decision.
Professional Teeth Whitening

Professional teeth whitening performed by a dentist is often the most effective and safest option. Dentists use stronger whitening agents than those available over the counter, but they also take precautions to protect your gums. They apply a protective barrier to your gums before the whitening process, which minimizes the risk of irritation. Professional treatments can provide dramatic results in a short amount of time. Your dentist can also monitor your progress and make adjustments as needed, ensuring a comfortable and effective whitening experience. This is often the best choice to protect your gums.
Whitening Toothpaste
Whitening toothpastes offer a gentler alternative for those with sensitive gums. They typically contain mild abrasives and bleaching agents that remove surface stains without causing significant irritation. While whitening toothpastes may not provide the same dramatic results as whitening strips or professional treatments, they can help to maintain a brighter smile with regular use. Look for toothpastes that are specifically designed for sensitive teeth or gums. Be sure to use them as directed and brush gently to avoid any potential abrasion. This is one of the safest options for a brighter smile.
In conclusion, while teeth-whitening strips can be effective, it’s important to be aware of the potential for gum irritation. By following the tips outlined in this guide, you can minimize the risk of irritation and maintain healthy gums while achieving a brighter smile. Remember to choose the right products, apply them correctly, and take proper care of your gums. If you experience any discomfort or have concerns, consult your dentist for professional advice and treatment. With the right approach, you can enjoy the benefits of a dazzling smile without compromising your oral health.
